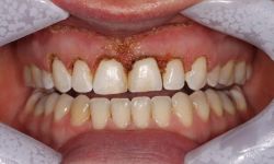
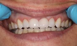
Patient wanted a new smile and was committed. After prior whitening and orthodontic procedures, she was ready to have her four (4) front veneers done. The gum tissue was ideally shaped using our laser technology and the final Veneers placed. It was a long road but we all felt it was worth the trip!
Related Services:
Cosmetic Dentistry
I have known Dr. D’Amico before he was even a Doctor. He has always been one of my most favorite people in the world because of his kindness, compassion, love for his wife, family and his love for LIFE. Dr. D’Amico has been my favorite Dentist for over 10 years!
In the late 1990’s, I had porcelain veneers for cosmetic reasons placed on my front teeth. After a few years they became very yellow and obviously needed to be replaced. At the time, I resided in Florida and saw a Cosmetic Dentist who not only replaced the veneers a second time, but then had to replace them a third time after complications. Upon leaving his office in Florida when the veneers were finally complete, he told me he would “see me in 10 years because that was the life of the veneers”. I never returned to that Dentist again. I started traveling from Florida and making my appointments with Dr. D’Amico on my visits home to see my family. Dr. D’Amico was well aware of all my horrible experiences at the Dentist and every single time I saw him he was so knowledgeable, gentle, calm and so confident!
After 15 years, I finally started having problems with the veneers that the Florida Dentist placed. I had to have three root canal’s and had temporary fillings that needed crowns. I now reside in North Carolina and of course I contacted Dr. D’Amico for an appointment and consultation. We had a whole plan, but it was going to take me being in Syracuse for several weeks. An entire year went by and I called the office. I finally had the time and the finances to get permanent crowns put on my teeth and the only person I trusted was Dr. D’Amico. So, he adjusted his schedule to make it work and I drove from North Carolina and started a five week marathon with THE BEST COSMETIC DENTIST ever!! Dr. D’Amico constantly communicated with me, made sure I took breaks, made sure I was comfortable, all with a steady hand and incredible precision. His Assistant Rachel, was absolutely amazing and was by his side the entire time. The two of them read each other’s minds and I was honestly envious that she got to work with such an amazing Doctor every single day. They were very long visits for me yet Dr. D’Amico never took a break except to go and help someone else. I absolutely love my seven new porcelain crowns! Dr. D’Amico expedited my mouth guard with the lab and came into the office during his vacation to fit it to my mouth so I could protect my new teeth as soon as possible! He got me in immediately when I called on two separate other occasions to adjust my bite. The pain regimen of Motrin alternating with Tylenol worked excellent and I am two weeks with my brand new porcelain crowns and most of my swelling and numbness is gone.
I am so thankful for Dr. D’Amico and his amazing staff! Dr. D’Amico is an extraordinarily talented Cosmetic Dentist and I am ridiculously Blessed to know him!
Thank you to entire staff from the bottom of my heart! I will honestly always drive from North Carolina to see Dr. D’Amico and his staff!
Thank you All!!!!! You are a great team in an office where everyone seems more like a family! I love my new smile!
- Tricia V.




